CLASE iiI
La maloclusión de Clase III se caracteriza por una relación anormal entre las arcadas dentales superior e inferior. En esta condición, los dientes inferiores están desplazados hacia adelante en comparación con los dientes superiores. Esto puede dar lugar a una mordida invertida, donde los incisivos inferiores se sitúan por delante de los incisivos superiores.
Características de la Clase III en ortodoncia
1. Protrusión Mandibular:
La mandíbula inferior está adelantada en relación con la maxila superior, lo que provoca que los dientes inferiores se sitúen por delante de los superiores.
2. Mordida Invertida:
Los incisivos inferiores muerden por delante de los incisivos superiores, lo que puede afectar tanto la estética como la funcionalidad de la mordida.
3. Perfil Facial:
El perfil facial puede mostrar una prominencia del mentón y una apariencia cóncava o plana.
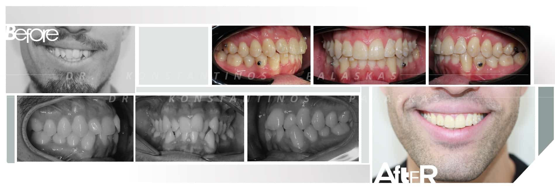
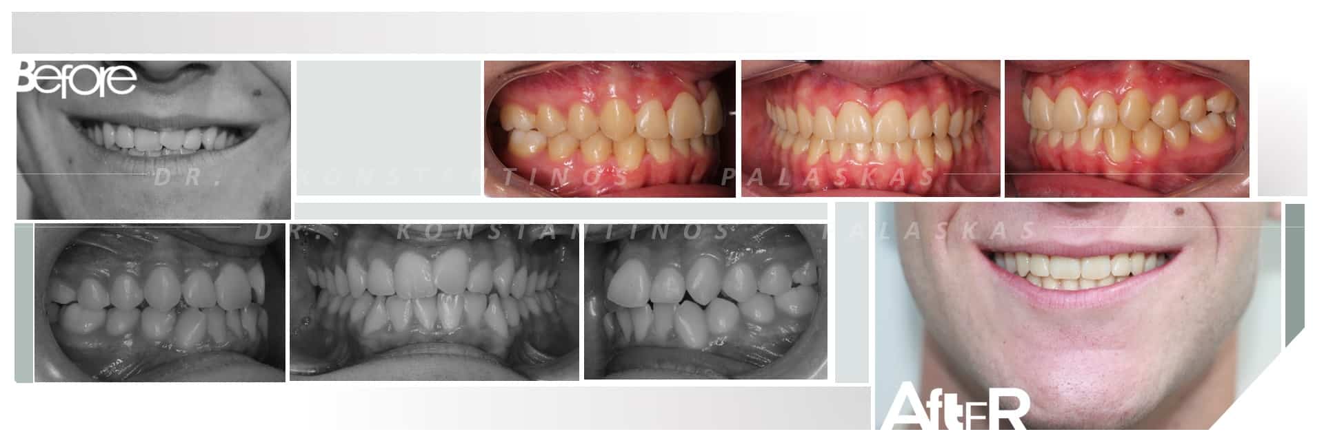
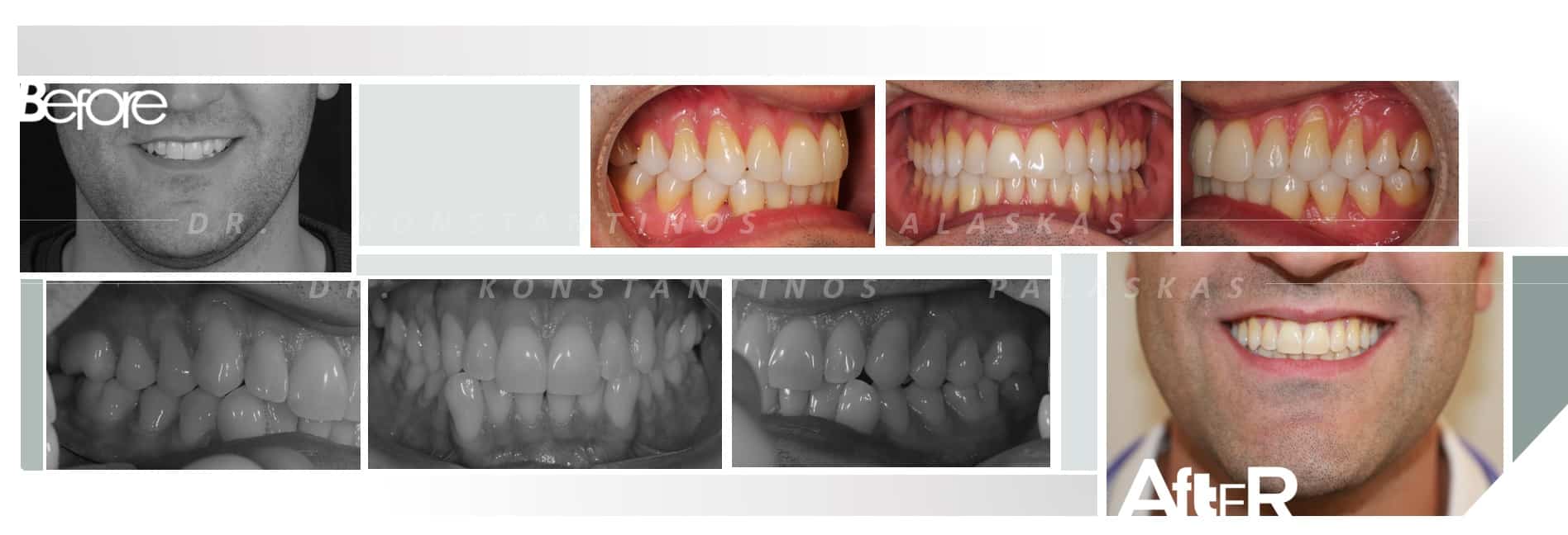
Galeria de Casos
Caso
1
Caso
2
Caso
3













