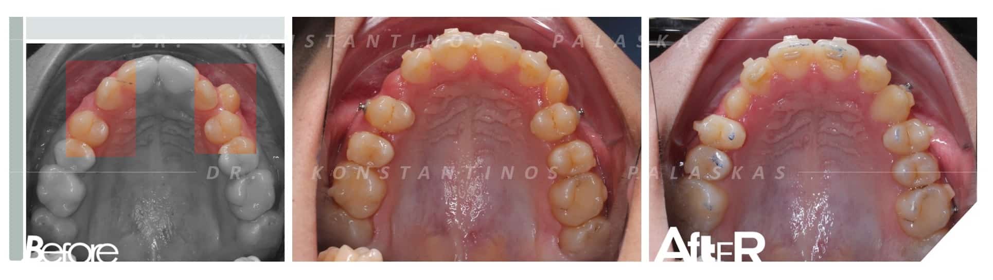
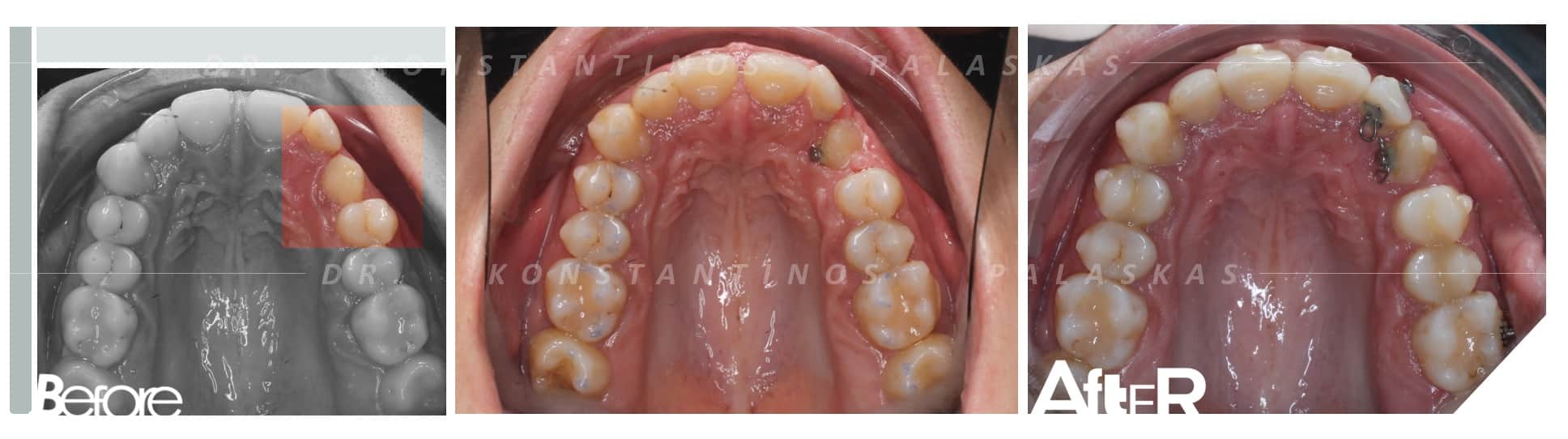
Dientes Retenidos
Los dientes retenidos en ortodoncia son aquellos que no han salido completamente a la posición correcta en la arcada dental. Las causas pueden incluir falta de espacio debido a apiñamiento dental, la presencia de dientes supernumerarios que bloquean la erupción normal, o barreras físicas como quistes dentígeros. El tratamiento puede implicar la extracción de dientes supernumerarios, la expansión del arco dental para crear más espacio, la aplicación de fuerzas ortodónticas para guiar la erupción del diente retenido o la cirugía oral para exponer el diente y permitir su movimiento hacia su posición correcta. La detección temprana y el tratamiento adecuado son fundamentales para evitar complicaciones dentales y ortodónticas.
Galeria de Casos
Caso
1
Caso
2
Caso
3
Caso
4













