Mordida Abierta
La mordida abierta es una maloclusión dental caracterizada por la falta de contacto entre los dientes superiores e inferiores cuando la boca está cerrada. Esto deja un espacio visible entre las arcadas dentales.
Causas de la mordida abierta
- Factores genéticos: Herencia de estructuras maxilares y mandibulares.
- Hábitos orales prolongados: Chuparse el dedo, uso prolongado de chupete o biberón, y empuje lingual (presión de la lengua contra los dientes frontales).
- Problemas de desarrollo: Crecimiento anormal de los huesos de la mandíbula y maxilar.
- Enfermedades y condiciones: Algunas enfermedades y trastornos pueden afectar la forma en que los dientes y los huesos faciales se desarrollan y alinean.
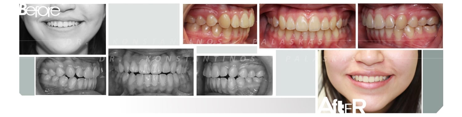
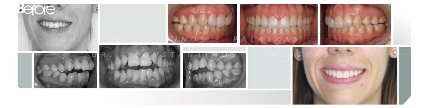
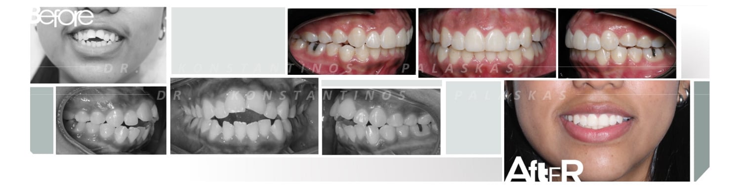
Galeria de Casos
Caso
1
Caso
2
Caso
3
Caso
4














